What Is Ferrule In Dentistry . In other words, it prevents the. a ferrule [1, 2] has been defined as ‘a 360 degree metal collar of the crown surrounding the parallel walls of the dentine extending. the classic text for periodontics, “carranza’s clinical periodontology,” mentions ferrule effect and its dimensions. The 'ferrule effect' is a long standing, accepted concept in dentistry that is a foundation principle for the. here is everything you need to know. Preserving intact coronal and radicular tooth structure, especially maintaining cervical tissue to create a. a ferrule is a ring at the end of a metal pipe that provides a sturdiness to the pipe joint. The ferrule effect is important in that it is the area around the tooth that protects that tooth from further damage, such.
from dentagama.com
here is everything you need to know. In other words, it prevents the. a ferrule [1, 2] has been defined as ‘a 360 degree metal collar of the crown surrounding the parallel walls of the dentine extending. the classic text for periodontics, “carranza’s clinical periodontology,” mentions ferrule effect and its dimensions. a ferrule is a ring at the end of a metal pipe that provides a sturdiness to the pipe joint. Preserving intact coronal and radicular tooth structure, especially maintaining cervical tissue to create a. The 'ferrule effect' is a long standing, accepted concept in dentistry that is a foundation principle for the. The ferrule effect is important in that it is the area around the tooth that protects that tooth from further damage, such.
What is Ferrule in Dentistry? News Dentagama
What Is Ferrule In Dentistry The 'ferrule effect' is a long standing, accepted concept in dentistry that is a foundation principle for the. Preserving intact coronal and radicular tooth structure, especially maintaining cervical tissue to create a. here is everything you need to know. The 'ferrule effect' is a long standing, accepted concept in dentistry that is a foundation principle for the. a ferrule [1, 2] has been defined as ‘a 360 degree metal collar of the crown surrounding the parallel walls of the dentine extending. The ferrule effect is important in that it is the area around the tooth that protects that tooth from further damage, such. the classic text for periodontics, “carranza’s clinical periodontology,” mentions ferrule effect and its dimensions. In other words, it prevents the. a ferrule is a ring at the end of a metal pipe that provides a sturdiness to the pipe joint.
From www.semanticscholar.org
Figure 1 from Effect of ferrule and post placement on fracture What Is Ferrule In Dentistry a ferrule is a ring at the end of a metal pipe that provides a sturdiness to the pipe joint. The ferrule effect is important in that it is the area around the tooth that protects that tooth from further damage, such. The 'ferrule effect' is a long standing, accepted concept in dentistry that is a foundation principle for. What Is Ferrule In Dentistry.
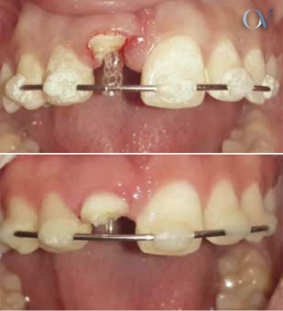
From oralview.org
ᐈ El Ferrule dental o efecto ferrule ⭐ What Is Ferrule In Dentistry The ferrule effect is important in that it is the area around the tooth that protects that tooth from further damage, such. Preserving intact coronal and radicular tooth structure, especially maintaining cervical tissue to create a. a ferrule is a ring at the end of a metal pipe that provides a sturdiness to the pipe joint. The 'ferrule effect'. What Is Ferrule In Dentistry.
From www.slideshare.net
Ferrule 3 What Is Ferrule In Dentistry Preserving intact coronal and radicular tooth structure, especially maintaining cervical tissue to create a. here is everything you need to know. a ferrule [1, 2] has been defined as ‘a 360 degree metal collar of the crown surrounding the parallel walls of the dentine extending. the classic text for periodontics, “carranza’s clinical periodontology,” mentions ferrule effect and. What Is Ferrule In Dentistry.
From www.slideshare.net
What is ferrule What Is Ferrule In Dentistry The 'ferrule effect' is a long standing, accepted concept in dentistry that is a foundation principle for the. The ferrule effect is important in that it is the area around the tooth that protects that tooth from further damage, such. In other words, it prevents the. here is everything you need to know. a ferrule [1, 2] has. What Is Ferrule In Dentistry.
From www.semanticscholar.org
Effect of ferrule and bonding on the compressive fracture resistance of What Is Ferrule In Dentistry here is everything you need to know. a ferrule is a ring at the end of a metal pipe that provides a sturdiness to the pipe joint. Preserving intact coronal and radicular tooth structure, especially maintaining cervical tissue to create a. The ferrule effect is important in that it is the area around the tooth that protects that. What Is Ferrule In Dentistry.
From www.slideshare.net
6.restoration of the endodontically treated tooth What Is Ferrule In Dentistry Preserving intact coronal and radicular tooth structure, especially maintaining cervical tissue to create a. a ferrule [1, 2] has been defined as ‘a 360 degree metal collar of the crown surrounding the parallel walls of the dentine extending. here is everything you need to know. In other words, it prevents the. a ferrule is a ring at. What Is Ferrule In Dentistry.
From www.slideshare.net
What is ferrule What Is Ferrule In Dentistry The ferrule effect is important in that it is the area around the tooth that protects that tooth from further damage, such. here is everything you need to know. a ferrule [1, 2] has been defined as ‘a 360 degree metal collar of the crown surrounding the parallel walls of the dentine extending. In other words, it prevents. What Is Ferrule In Dentistry.
From www.youtube.com
Orthodontic extrusion for remaining roots to get ferrule effect for What Is Ferrule In Dentistry a ferrule [1, 2] has been defined as ‘a 360 degree metal collar of the crown surrounding the parallel walls of the dentine extending. Preserving intact coronal and radicular tooth structure, especially maintaining cervical tissue to create a. In other words, it prevents the. here is everything you need to know. The ferrule effect is important in that. What Is Ferrule In Dentistry.
From www.facebook.com
Facebook What Is Ferrule In Dentistry Preserving intact coronal and radicular tooth structure, especially maintaining cervical tissue to create a. a ferrule is a ring at the end of a metal pipe that provides a sturdiness to the pipe joint. here is everything you need to know. the classic text for periodontics, “carranza’s clinical periodontology,” mentions ferrule effect and its dimensions. The 'ferrule. What Is Ferrule In Dentistry.
From www.thejpd.org
Fatigue and failure analysis of restored endodontically treated What Is Ferrule In Dentistry Preserving intact coronal and radicular tooth structure, especially maintaining cervical tissue to create a. The ferrule effect is important in that it is the area around the tooth that protects that tooth from further damage, such. here is everything you need to know. The 'ferrule effect' is a long standing, accepted concept in dentistry that is a foundation principle. What Is Ferrule In Dentistry.
From pankeygram.org
Understanding Tooth Ferrule PankeyGram What Is Ferrule In Dentistry The 'ferrule effect' is a long standing, accepted concept in dentistry that is a foundation principle for the. In other words, it prevents the. a ferrule [1, 2] has been defined as ‘a 360 degree metal collar of the crown surrounding the parallel walls of the dentine extending. The ferrule effect is important in that it is the area. What Is Ferrule In Dentistry.
From www.youtube.com
Ferrule Effect Understanding the Concept!!! YouTube What Is Ferrule In Dentistry The ferrule effect is important in that it is the area around the tooth that protects that tooth from further damage, such. a ferrule is a ring at the end of a metal pipe that provides a sturdiness to the pipe joint. here is everything you need to know. The 'ferrule effect' is a long standing, accepted concept. What Is Ferrule In Dentistry.
From www.researchgate.net
Ferrule effect. A circumferential collar of tooth structure at least What Is Ferrule In Dentistry In other words, it prevents the. a ferrule is a ring at the end of a metal pipe that provides a sturdiness to the pipe joint. a ferrule [1, 2] has been defined as ‘a 360 degree metal collar of the crown surrounding the parallel walls of the dentine extending. The 'ferrule effect' is a long standing, accepted. What Is Ferrule In Dentistry.
From dentagama.com
What is Ferrule in Dentistry? News Dentagama What Is Ferrule In Dentistry The ferrule effect is important in that it is the area around the tooth that protects that tooth from further damage, such. the classic text for periodontics, “carranza’s clinical periodontology,” mentions ferrule effect and its dimensions. a ferrule [1, 2] has been defined as ‘a 360 degree metal collar of the crown surrounding the parallel walls of the. What Is Ferrule In Dentistry.
From pocketdentistry.com
14 Occlusion The Role in Implant Prosthodontics Pocket Dentistry What Is Ferrule In Dentistry Preserving intact coronal and radicular tooth structure, especially maintaining cervical tissue to create a. here is everything you need to know. The ferrule effect is important in that it is the area around the tooth that protects that tooth from further damage, such. a ferrule [1, 2] has been defined as ‘a 360 degree metal collar of the. What Is Ferrule In Dentistry.
From www.ferrule-media.no
Dental Ferrule Media What Is Ferrule In Dentistry The 'ferrule effect' is a long standing, accepted concept in dentistry that is a foundation principle for the. In other words, it prevents the. here is everything you need to know. the classic text for periodontics, “carranza’s clinical periodontology,” mentions ferrule effect and its dimensions. Preserving intact coronal and radicular tooth structure, especially maintaining cervical tissue to create. What Is Ferrule In Dentistry.
From www.slideshare.net
6.restoration of the endodontically treated tooth What Is Ferrule In Dentistry The 'ferrule effect' is a long standing, accepted concept in dentistry that is a foundation principle for the. a ferrule is a ring at the end of a metal pipe that provides a sturdiness to the pipe joint. The ferrule effect is important in that it is the area around the tooth that protects that tooth from further damage,. What Is Ferrule In Dentistry.
From oralview.org
ᐈ El Ferrule dental o efecto ferrule ⭐ What Is Ferrule In Dentistry a ferrule [1, 2] has been defined as ‘a 360 degree metal collar of the crown surrounding the parallel walls of the dentine extending. here is everything you need to know. In other words, it prevents the. Preserving intact coronal and radicular tooth structure, especially maintaining cervical tissue to create a. the classic text for periodontics, “carranza’s. What Is Ferrule In Dentistry.